TOTAL KNEE ARTHROPLASTY
In knee replacement surgery (arthroplasty), a damaged, worn or diseased knee is replaced with an artificial joint. Knee replacement is now a routine operation for knee pain when the knee joint has been severely damaged, most commonly by arthritis.
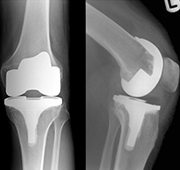
There are two main types of surgery, depending on the condition of the knee: total knee replacement and partial (half) knee replacement. A total knee replacement involves removing the damaged articular cartilage surfaces at the end of the thigh bone and the top of the tibia (the knee joint), and replacing them with a prosthetic (man-made) joint.
The operation involves a general or local anaesthetic. It takes approximately 1.5 hours to perform, and a 5 day hospital stay is needed afterwards. In hospital after the surgery, intense physiotherapy is needed to regain knee movement and prevent joint stiffness.
Most people who have a total knee replacement are over 65, and just over half of all patients are women. Candidates for knee replacement surgery need to be well enough for both a major operation and the rehabilitation afterwards.

